Braces

The Damon Brace System has changed the way we treat orthodontic patients. The revolutionary advancement works in less time and is significantly more comfortable than ever before. Patients see the beginning of their new smile in the first few weeks of treatment and ultimately achieve a beautiful smile that will last a lifetime.

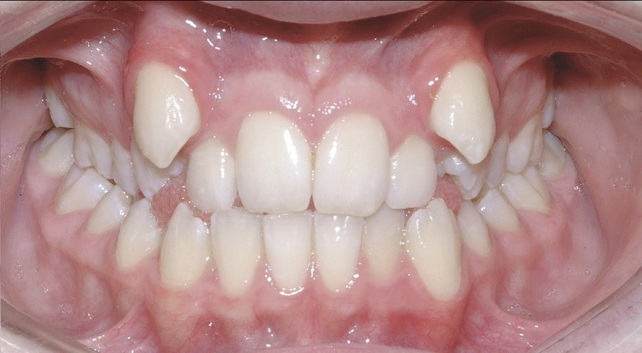
Before

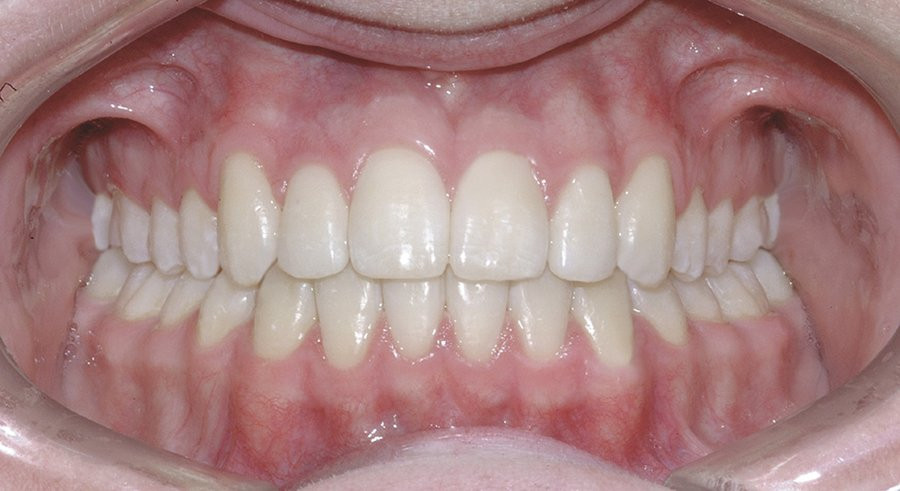
After

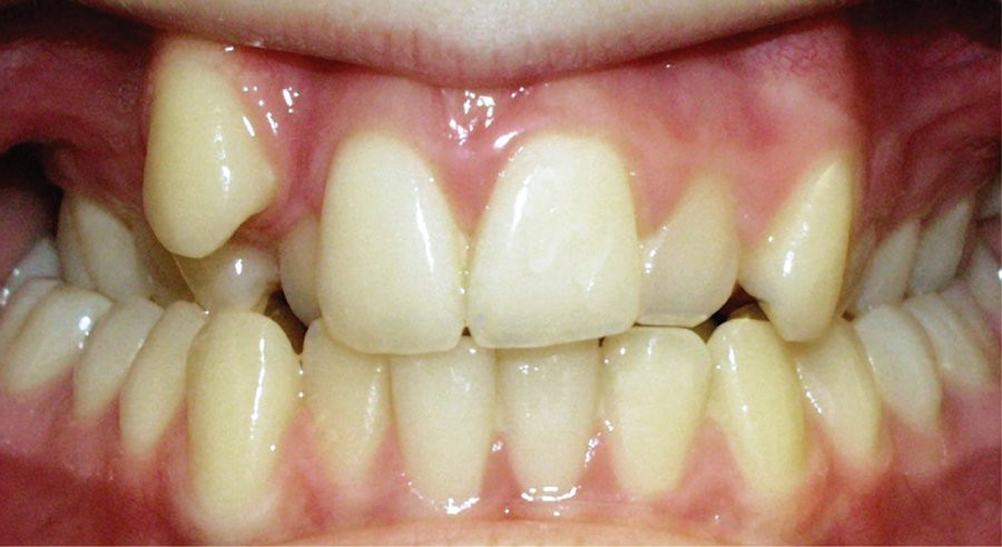
Before

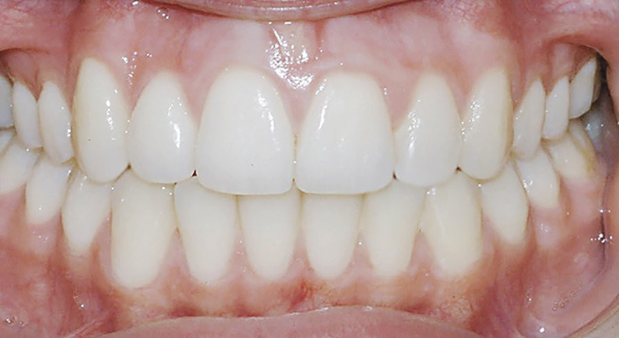
After
Benefits of the Damon System:
- Fast treatment time. After analyzing your needs, we will be able to provide you with a treatment plan that will have you smiling as soon as possible!
- Damon braces allow freedom of tooth movement. See fast results, even with the gentle nature of the Damon braces.
- Fewer Office Visits. We can reduce the need for time-consuming and complicated procedures with fewer adjustments.
- Eliminates the need for extractions. In most cases, extractions may not be necessary.
- Less discomfort than traditional braces. Damon braces are small, very comfortable, and easy to keep clean.
- No expanders of Headgear. This offers a more comfortable experience compared to traditional braces.
For more information on our services, scheduling your first appointment, insurance options or financial information, get in touch with Canandaigua Smiles by phone at 585-394-4058, or via email by filling out the short contact form on our website.
